留言板

尊敬的读者、作者、审稿人, 关于本刊的投稿、审稿、编辑和出版的任何问题, 您可以本页添加留言。我们将尽快给您答复。谢谢您的支持!

内蒙古番茄病毒的检测与鉴定

上一篇

下一篇

徐磊, 刘燕, 孙平平, 等. 内蒙古番茄病毒的检测与鉴定[J]. 西南大学学报(自然科学版), 2026, 48(1): 59-74. doi: 10.13718/j.cnki.xdzk.2026.01.006
引用本文: 徐磊, 刘燕, 孙平平, 等. 内蒙古番茄病毒的检测与鉴定[J]. 西南大学学报(自然科学版), 2026, 48(1): 59-74. doi: 10.13718/j.cnki.xdzk.2026.01.006
XU Lei, LIU Yan, SUN Pingping, et al. Detection and Identification of Tomato Viruses in Inner Mongolia[J]. Journal of Southwest University Natural Science Edition, 2026, 48(1): 59-74. doi: 10.13718/j.cnki.xdzk.2026.01.006
Citation: XU Lei, LIU Yan, SUN Pingping, et al. Detection and Identification of Tomato Viruses in Inner Mongolia[J]. Journal of Southwest University Natural Science Edition, 2026, 48(1): 59-74. doi: 10.13718/j.cnki.xdzk.2026.01.006

内蒙古番茄病毒的检测与鉴定

  • 基金项目: 内蒙古自治区“揭榜挂帅”项目(2022JBGS0028);内蒙古自治区自然科学基金项目(2022QN03018;2023LHMS03020);内蒙古自治区高等学校青年科技英才项目(NJYT23079);内蒙古自治区直属高校基本科研业务费项目(BR230128)
详细信息
    作者简介:

    徐磊,硕士研究生,主要从事植物病毒学研究 .

    通信作者: 张磊,博士,副教授,硕士研究生导师
  • 中图分类号: S436

Detection and Identification of Tomato Viruses in Inner Mongolia

  • 摘要:

    2021-2024年对内蒙古包头、巴彦淖尔、赤峰、鄂尔多斯、呼和浩特5个市辖番茄产区进行番茄病毒病病原种类的调查和鉴定,采集224份表现为斑驳、花叶、黄化、坏死等疑似病毒侵染的番茄叶片样品,运用RT-PCR技术分别检测苜蓿花叶病毒(alfalfa mosaic virus,AMV)、黄瓜花叶病毒(cucumber mosaic virus,CMV)、南方番茄病毒(southern tomato virus,STV)等25种RNA病毒,运用PCR技术检测番茄黄化曲叶病毒(tomato yellow leaf curl virus,TYLCV)和中国番木瓜曲叶病毒(papaya leaf curl China virus,PaLCuCNV)2种DNA病毒。检测为阳性的番茄样品克隆病毒部分基因组序列并进行系统发育、核苷酸序列一致性分析。结果显示:在内蒙古5个市辖番茄产区共鉴定到7种病毒(6种RNA病毒和1种DNA病毒),分别是AMV、CMV、STV、番茄斑驳花叶病毒(tomato mottle mosaic virus,ToMMV)、番茄花叶病毒(tomato mosaic virus,ToMV)、番茄斑萎病毒(tomato spotted wilt virus,TSWV)和TYLCV,病毒检出率为29.91%(67/224),其中ToMV的检出率最高,为20.54%(46/224),ToMMV、STV、CMV、TYLCV、TSWV次之,AMV的检出率最低,为0.45%(1/224)。发现12种复合侵染类型,总体复合侵染率为52.24%(35/67),ToMMV+ToMV(22.39%,15/67)为优势复合侵染类型。

  • 加载中
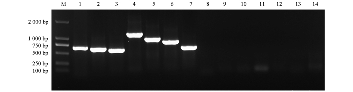
  • 图 1  番茄样品7种病毒RT-PCR、PCR扩增产物琼脂糖凝胶电泳结果

    图 2  内蒙古AMV分离物与其他地区AMV分离物CP基因核苷酸序列系统发育树

    图 3  内蒙古CMV分离物与其他地区CMV分离物部分RdRp基因核苷酸序列系统发育树

    图 4  内蒙古STV分离物与其他地区STV分离物部分FP p122基因核苷酸序列系统发育树

    图 5  内蒙古ToMMV的与其他地区ToMMV分离物部分RdRpMP基因核苷酸序列系统发育树

    图 6  内蒙古ToMV分离物与其他地区ToMV分离物部分RdRp基因核苷酸序列系统发育树

    图 7  内蒙古TSWV分离物与其他地区TSWV分离物部分N基因核苷酸序列系统发育树

    图 8  内蒙古TYLCV分离物与其他地区TYLCV分离物部分CP基因核苷酸序列系统发育树

    表 1  已报道的侵染番茄的病毒特异性检测引物

    病毒名称 引物名称 引物序列(5′→ 3′) 目标片段/bp 退火温度/℃ 参考文献
    AMV AMV-F1 ATGAGTTCTTCACAAAAGAAAGCT 666 62 [41]
    AMV-R1 TCAATGACGATCAAGATCGTCAG
    AMVdF GTGCGTATAGATGCCGGTTC 900 52 [6]
    AMVdR GAGCGAATAGGACTTCATACC
    BBWV2 BBWV2dF AGRTATATGCTTGGGCAAGCGCATG 490 60 [6]
    BBWV2dR CATGAACATTCCCCATCTCCACGTG
    ChiVMV ChiVMVdF GGAAARGCNCCNTAYAT 790 50 [6]
    ChiVMVdR CGCGCTAATGACATATCGGT
    CMV CMV-F GTTTATTTACAAGAGCGTACGG 632 51 [42]
    CMV-R GGTTCGAARRWATAACCGGG
    PepMV Pep3 ATGAGGTTGTCTGGTGAA 624 48 [43]
    Pep4 AATTCCGTGCACAACTAT
    PLAMV PlAMV-cpup CCGCGGCCGCCACACTACTC 932 58 [44]
    PlAMV-cpdw GGCCCACCAGACTTTCACT
    PMMoV PMMoVdF CCTCTTCCGAGAGAATCTGAGAC 703 66 [6]
    PMMoVdR CGTGTTTCCAAACTTCAGCCAAG
    PVS PVS-F TTCCAGAGGACGCCTTTGCAATC 435 59 [45]
    PVS-R GTCTAACTGGCATCAGGGCACAATA
    PVX PVXdF AGTGCGCGAGGTTTACCAATC 790 62 [6]
    PVXdR GTGGTTTGCCGCGAACGATTC
    SpLV SpLVdF GCACTCTCCTCAGCCTTTG 1 077 58 [6]
    SpLVdR TCTGACGAGCATCATATAGTTTCC
    STV STV-F1 TGATGGAGGATATCTACTGTCATT 582 62 [6]
    STV-R1 ACAAGATGTTTAAAGCCGTGTCC
    TAV TAVdF ATGGCCCAAAACGGTACGG 657 58 [6]
    TAVdR TCACACCGGGAGCGTTGAAG
    TBRV TBRV-F CGCTAGAAGTGAGCCTATG 730 56 [46]
    TBRV-R TCAGCTAGGAGTTTCGCAG
    TEV TEV-F TGATGGATGGTGAGGAG 347 50 [47]
    TEV-R GTGCCGTTCAGTGTCTT
    TMGMV TMGMVdF GAGGAAATTGAGGATAATGTAAGTG 700 60 [6]
    TMGMVdR ACGCCATACCACAGTATACAC
    TMV TMVdF GATTCGTTTTAAATATGTCTTAC 600 56 [6]
    TMVdR CTTCGATTTAAGTGGAGGGA
    ToBRFV ToBRFV-F GAAGAAGTTGTTGATGAGTTCAT 812 60 [48]
    ToBRFV-R GATTTAAGTGGAGGGAAAAACAC
    ToBSV ToBSVF TCCATACCAATCATACCGCTGTT 78 62 [49]
    ToBSVR1 TAGTTCATTGCCAAAAGCCTTGA
    ToCV ToCVdF GCTTCCGAAACTCCGTCTTG 439 58 [6]
    ToCVdR TGTCGAAAGTACCGCCACC
    ToMMV ToMMVdF CTGGAGAAGACTGGGTCTAG 1 193 56 [6]
    ToMMVdR TTCGGTAAGTTCAATGGGACCT
    ToMV ToMVdF TCTCAAGAATGTTACACGGGAAG 980 60 [6]
    ToMVdR CGCATTCTCCGTAATTTTGATC
    TSWV TSWVdF TCACTGTAATGTTCCATAGCAA 861 60 [6]
    TSWVdR AGAGCAATYGTGTCAATTTTATTC
    TuYV TuYV-F2 GCCGCYTGTTTCTCAGTTCTG 137 60 [50]
    TuYV-R2 RACTAACCACGAGTAAAGAAGCTCAA
    TVBMV PIPO-F TACCATGGAATCTATCAACAGGATTTGG 235 55 [51]
    PIPO-R GAACTAGTAAGTTGTCCTGTGCATATTG
    TZSV TZSVdF TGGTTAAAAAGACAGATCATTGCT 852 60 [52]
    TZSVdR CTACTTGCCAACATGTCTAACGTC
    TYLCV TYLCV-1 TAATCATTTCCACGCCCGTCTCG 648 58 [33]
    TYLCV-2 GGTTCTCATACTTGGCTGCCTCCT
    TYLCV-F CGGGATCCACTTCTAAATG 2 800 54 [53]
    TYLCV-R CGGGATCCCACATATTGCAAG
    PaLCuCNV SC249F ACTCCCCAGATACATTAGGGTACG 2 800 58 [54]
    SC249R TGTTTGACGTGACTACTTGGGGAC
    注:BBWV2为蚕豆萎蔫病毒2(broad bean wilt virus 2),ChiVMV为辣椒脉斑驳病毒(chilli veinal mottle virus),PepMV为凤果花叶病毒(pepino mosaic virus),PLAMV为车前草花叶病毒(plantago asiatica mosaic virus),PMMoV为辣椒轻斑驳病毒(pepper mild mottle virus),PVS为马铃薯S病毒(potato virus S),PVX为马铃薯X病毒(potato virus X),SpLV为菠菜潜隐病毒(spinach latent virus),TAV为番茄不孕病毒(tomato aspermy virus),TBRV为番茄黑环病毒(tomato black ring virus),TEV为烟草蚀纹病毒(tobacco etch virus),TMGMV为烟草轻型绿花叶病毒(tobacco mild green mosaic virus),TMV为烟草花叶病毒(tobacco mosaic virus),ToBSV为番茄丛矮病毒(tomato bushy stunt virus),TuYV为芜菁黄化病毒(turnip yellows virus),TVBMV为烟草脉带花叶病毒(tobacco vein banding mosaic virus),TZSV为番茄环纹斑点病毒(tomato zonate spot virus)。
    下载: 导出CSV

    表 2  侵染内蒙古番茄的病毒种类鉴定

    采样时间和采样地区 样品数/份 侵染番茄的病毒种类
    AMV CMV STV ToMMV ToMV TSWV TYLVC
    2021年呼和浩特市玉泉区 34 0 0 3 10 8 0 0
    2022年呼和浩特市玉泉区 73 0 10 7 14 34 3 0
    2022年呼和浩特市新城区 13 0 3 2 0 1 0 0
    2022年呼和浩特市赛罕区 12 0 0 0 0 0 1 0
    2023年包头市东河区 10 0 0 0 0 0 0 1
    2023年包头市青山区 10 0 0 0 0 0 0 0
    2023年包头市石拐区 10 0 0 0 0 0 0 1
    2023年鄂尔多斯市杭锦旗 10 0 0 0 0 0 0 0
    2023年鄂尔多斯市伊金霍洛旗 10 0 0 0 0 0 0 1
    2023年鄂尔多斯市准格尔旗 10 1 0 0 0 0 0 0
    2024年包头市东河区 12 0 0 1 0 0 0 2
    2024年巴彦淖尔市临河区 10 0 0 1 0 3 0 0
    2024年赤峰市元宝山区 10 0 0 1 0 0 0 1
    总计/份 224 1 13 15 24 46 4 6
    检出率/% 29.91 0.45 5.80 6.70 10.71 20.54 1.79 2.68
    下载: 导出CSV

    表 3  内蒙古侵染番茄的病毒复合侵染类型

    复合侵染类型 采样时间和采样地区 样品数/份
    2种病毒复合侵染 CMV+STV 2022年呼和浩特市新城区 1
    CMV+ToMV 2022年呼和浩特市玉泉区 2
    CMV+TSWV 2022年呼和浩特市玉泉区 1
    STV+TYLCV 2024年包头市东河区 1
    2024年赤峰市元宝山区 1
    STV+ToMV 2021年呼和浩特市玉泉区 2
    2022年呼和浩特市玉泉区 4
    2024年巴彦淖尔市临河区 1
    ToMMV+ToMV 2021年呼和浩特市玉泉区 6
    2022年呼和浩特市玉泉区 9
    3种病毒复合侵染 CMV+STV+ToMV 2022年呼和浩特市新城区 1
    CMV+STV+TSWV 2022年呼和浩特市玉泉区 1
    CMV+ToMMV+ToMV 2022年呼和浩特市玉泉区 2
    CMV+ToMV+TSWV 2022年呼和浩特市玉泉区 1
    STV+ToMMV+ToMV 2021年呼和浩特市玉泉区 1
    4种病毒复合侵染 CMV+STV+ToMMV+ToMV 2022年呼和浩特市玉泉区 1
    总计/种 12 35
    下载: 导出CSV
  • [1] 杨欢欢, 方晴, 聂中欣, 等. 番茄优良自交系部分品质性状杂种优势及配合力分析[J]. 东北农业大学学报, 2023, 54(2): 37-48.
    [2] 郭文忠. 聚焦番茄产业症结, 调整生产结构布局[J]. 山西农业大学学报(自然科学版), 2023, 43(5): 1-2.
    [3] RIVAREZ M P S, VUĈUROVIĈ A, MEHLE N, et al. Global Advances in Tomato Virome Research: Current Status and the Impact of High-Throughput Sequencing[J]. Frontiers in Microbiology, 2021, 12: 671925. doi: 10.3389/fmicb.2021.671925
    [4] 严婉荣, 王宝, 吉训聪, 等. 番茄病毒病种类及主要鉴定方法研究进展[J]. 分子植物育种, 2024, 22(16): 5357-5367.
    [5] 杨海燕, 崔百明, 张强, 等. 新疆番茄病毒病检测及南方番茄病毒全基因组序列测定与传播特性分析[J]. 植物保护学报, 2017, 44(2): 253-259.
    [6] 刘勇, 李凡, 李月月, 等. 侵染我国主要蔬菜作物的病毒种类、分布与发生趋势[J]. 中国农业科学, 2019, 52(2): 239-261.
    [7] 温智浩, 张胜丰, 谢学文, 等. 银川、徐州和赤峰地区番茄病毒病种类的鉴定[J]. 作物杂志, 2023(6): 252-256.
    [8] 苏海娣, 梁学超, 崔百明, 等. 新疆加工番茄上一种类似南方番茄病毒的分子检测[J]. 石河子大学学报(自然科学版), 2013, 31(3): 271-275.
    [9] PADMANABHAN C, ZHENG Y, LI R G, et al. Complete Genome Sequence of Southern Tomato Virus Identified in China Using Next-Generation Sequencing[J]. Genome Announcements, 2015, 3(5): 1226-1240.
    [10] 董云浩, 雷喜红, 李云龙, 等. 警惕种子传带的南方番茄病毒Southern tomato virus对我国番茄产业的危害[J]. 植物保护, 2019, 45(3): 254-256.
    [11] 康华军, 李建设, 高艳明, 等. 宁夏银川地区番茄斑萎病毒和南方番茄病毒复合侵染分子鉴定[J]. 中国蔬菜, 2022(4): 29-34.
    [12] 车海彦, 林雅婷, 罗大全, 等. 南方番茄病毒在海南省的发生分布及全基因组序列分析[J]. 热带作物学报, 2024, 45(1): 30-40.
    [13] 刘玉莹, 熊志琦, 苏晓霞, 等. 云南怒江番茄种植新区番茄病毒检测及病毒种传特性[J]. 植物保护, 2024, 50(1): 272-279.
    [14] 郜雅欣, 高艳明, 李建设, 等. 宁夏地区不同品种番茄主要病毒病的分子鉴定及抗性评价[J]. 西北农业学报, 2024, 33(4): 726-735.
    [15] 高利利, 孙国珍, 王勇, 等. 天津地区番茄褪绿病毒的分子检测和鉴定[J]. 华北农学报, 2015, 30(3): 211-215.
    [16] 吴淑华, 李廷芳, 赵文浩, 等. 江苏省番茄黄化曲叶病毒和褪绿病毒复合侵染的分子检测[J]. 园艺学报, 2016, 43(1): 89-99.
    [17] 汤亚飞, 何自福, 佘小漫, 等. 侵染广东番茄的番茄褪绿病毒分子鉴定[J]. 植物保护, 2017, 43(2): 133-137.
    [18] 周彦. 柑桔衰退病毒相关研究进展[J]. 中国南方果树, 2024, 53(2): 1-8.
    [19] 王志荣, 李晓东, 朱玉, 等. 陕西杨凌番茄褪绿病毒的分子检测[J]. 植物保护, 2018, 44(2): 81-88.
    [20] 王雪忠, 张战泓, 郑立敏, 等. 番茄褪绿病毒在湖南省首次发生[J]. 中国蔬菜, 2018(8): 27-31.
    [21] 王帅鑫, 史晓斌, 张战泓, 等. 内蒙古和贵州地区粉虱发生对番茄褪绿病毒流行的影响[J]. 植物保护, 2020, 46(5): 42-46, 52.
    [22] 孙晓军, 周婷婷, 玉山江·麦麦提, 等. 设施番茄病毒病病原鉴定[J]. 新疆农业科学, 2021, 58(1): 99-106.
    [23] 马晓春, 李建设, 高艳明, 等. 宁夏地区不同品系番茄主要病毒病种类鉴定及复合侵染研究[J]. 西南农业学报, 2022, 35(11): 2536-2543.
    [24] 金凤媚, 薛俊, 孙海波, 等. 基于小RNA技术的天津地区番茄花叶病毒分子检测与基因组部分序列分析[J]. 华北农学报, 2021, 36(5): 176-183.
    [25] 杨菲, 张爱红, 王秀芝, 等. 内蒙古赤峰地区番茄斑萎病毒的鉴定[J]. 园艺学报, 2021, 48(6): 1208-1216.
    [26] 王晓敏, 李洪磊, 王林, 等. 银川番茄斑萎病毒的分子鉴定[J]. 植物学报, 2021, 56(6): 715-721.
    [27] 王燕春, 奥妮, 陈琪, 等. 内蒙古设施番茄、辣椒主要病毒病种类分析[J]. 北方农业学报, 2023, 51(1): 61-71.
    [28] 郑宽瑜, 熊智琦, 魏治镭, 等. 西藏昌都市卡若区蔬菜主要病毒检测及番茄斑萎病毒鉴定[J]. 植物保护, 2023, 49(6): 63-69.
    [29] 张前荣, 温庆放, 李大忠, 等. 福建省番茄黄化曲叶病毒的分子鉴定分析[J]. 福建农业学报, 2016, 31(6): 611-615.
    [30] 姜静, 王银磊, 李亚茹, 等. 江苏省及其他地区番茄黄化曲叶病毒的分子鉴定及序列分析[J]. 江苏农业学报, 2018, 34(1): 238-240.
    [31] 鲁清华, 张宇, 张松柏, 等. 湖南省长沙市番茄黄化曲叶病毒的检测与系统发育分析[J]. 南方农业学报, 2018, 49(7): 1332-1337.
    [32] 汤亚飞, 佘小漫, 李正刚, 等. 广东省番茄黄化曲叶病毒的分子鉴定及序列分析[J]. 植物保护, 2019, 45(4): 143-148.
    [33] 陈利达, 石延霞, 谢学文, 等. 我国不同地区番茄主要病毒病种类的分子检测与分析[J]. 华北农学报, 2020, 35(1): 185-193.
    [34] 汤亚飞, 周洋, 张丽, 等. 番茄黄化曲叶病毒侵染危害海南番茄及其分子特征[J]. 南方农业学报, 2020, 51(8): 1970-1976.
    [35] 苏琴, 崔丽贤, 陈起民, 等. 侵染广西番茄的番茄黄化曲叶病毒的分子鉴定[J]. 植物保护, 2021, 47(5): 146-151.
    [36] 潘嵩, 魏佩瑶, 刘晨, 等. 陕西省番茄黄化曲叶病毒基因间隔区缺失突变体的鉴定与不同分离物间群体进化研究[J]. 植物保护, 2023, 49(4): 75-83, 91.
    [37] LI Y Y, LIU Q L, XIANG D, et al. First Report of Natural Infection of Tobacco Bushy Top Virus on Tomato and Pepper in China[J]. Plant Disease, 2018, 102(7): 1466.
    [38] CHE H Y, LUO D Q, CAO X R. First Report of Tomato Mottle Mosaic Virus in Tomato Crops in China[J]. Plant Disease, 2018, 102(10): 2051.
    [39] YAN Z Y, MA H Y, HAN S L, et al. First Report of Tomato Brown Rugose Fruit Virus Infecting Tomato in China[J]. Plant Disease, 2019, 103(11): 2973.
    [40] LI R C, LIU Y, YIN C L, et al. Occurrence of Tomato Leaf Curl New Delhi Virus in Tomato (Lycopersicon esculentum) in China[J]. Plant Disease, 2023, 107(5): 1639.
    [41] 魏旭. 三种马铃薯病毒外壳蛋白基因原核表达体系构建[D]. 呼和浩特: 内蒙古农业大学, 2024.
    [42] FINETTI-SIALER M M, CILLO F, BARBAROSSA L, et al. Differentiation of Cucumber Mosaic Virus Subgroups by RT-PCR RFLP[J]. Journal of Plant Pathology, 1999, 81(2): 145-148.
    [43] AGUILAR J M, HERNÁNDEZ-GALLARDO M D, CENIS J L, et al. Complete Sequence of the Pepino Mosaic Virus RNA Genome[J]. Archives of Virology, 2002, 147(10): 2009-2015. doi: 10.1007/s00705-002-0848-9
    [44] 李鑫, 陈雅诗, 朱连, 等. 进境荷兰百合中车前草花叶病毒的分子鉴定及序列分析[J]. 植物病理学报, 2017, 47(2): 197-202.
    [45] 崔红红, 张幸媛, 田宇豪, 等. 湖南省马铃薯病毒病发生情况调查[J]. 植物保护, 2022, 48(1): 198-203.
    [46] 杨翠云, 于翠, 宋绍祎, 等. 番茄黑环病毒分子生物学检测方法及分离物序列分析[J]. 植物检疫, 2006, 20(5): 275-278.
    [47] 郑轩, 成巨龙, 赵震, 等. 五种烟草病毒TMV、CMV、TEV、PVY及TVBMV的多重RT-PCR同步检测[J]. 植物病理学报, 2011, 41(2): 146-153.
    [48] LEVITZKY N, SMITH E, LACHMAN O, et al. The Bumblebee Bombus Terrestris Carries a Primary Inoculum of Tomato Brown Rugose Fruit Virus Contributing to Disease Spread in Tomatoes[J]. PLoS One, 2019, 14(1): e0210871. doi: 10.1371/journal.pone.0210871
    [49] 粟智平, 杨益娥, 赵伟铎, 等. 半巢式RT-Realtime PCR检测番茄丛矮病毒[J]. 现代农业科技, 2015(18): 148-150.
    [50] BUXTON-KIRK A, ADAMS I, FREW L, et al. First Report of Turnip Yellows Virus in Cabbage in the Philippines[J]. New Disease Reports, 2021, 44(1): e12020. doi: 10.1002/ndr2.12020
    [51] 杨洋, 汪蝶, 杨懿德, 等. 烟草4种病毒的多重RT-PCR检测方法构建[J]. 烟草科技, 2020, 53(9): 6-11.
    [52] LI Y Y, TAN G L, XIAO L, et al. A Multiyear Survey and Identification of Pepper- and Tomato-Infecting Viruses in Yunnan Province, China[J]. Frontiers in Microbiology, 2021, 12: 623875. doi: 10.3389/fmicb.2021.623875
    [53] 薛东齐. 中国番茄黄化曲叶病毒株系分化及侵染性克隆的构建[D]. 哈尔滨: 东北农业大学, 2013.
    [54] 熊艳, 周常勇, 李茵, 等. PaLCuCNV和TYLCCNV复合侵染引起更严重的番茄黄化曲叶病[J]. 园艺学报, 2014, 41(2): 268-276.
    [55] BERGUA M, LUIS-ARTEAGA M, ESCRIU F. Genetic Diversity, Reassortment, and Recombination in Alfalfa Mosaic Virus Population in Spain[J]. Phytopathology, 2014, 104(11): 1241-1250. doi: 10.1094/PHYTO-11-13-0309-R
    [56] AMIN H A, YOUNES H A, SHAFIE R M, et al. Molecular Characterization and Evolution of the Resident Population of Some Alfalfa Mosaic Virus (AMV) Isolates in Egypt[J]. BMC Microbiology, 2023, 23(1): 261. doi: 10.1186/s12866-023-03003-8
    [57] WANG X, LIU C C, TAN Z Y, et al. Population Genetics and Phylogeography of Alfalfa Mosaic Virus in China and a Comparison with Other Regional Epidemics Based on the Cp Gene[J]. Frontiers in Plant Science, 2023, 13: 1105198. doi: 10.3389/fpls.2022.1105198
    [58] 柴阿丽, 陈利达, 许帅, 等. 新疆喀什辣椒轻斑驳病毒和黄瓜花叶病毒复合侵染的分子鉴定[J]. 华北农学报, 2020, 35(S1): 332-337.
    [59] 田文, 邱艳红, 秦文韬, 等. 北京地区侵染茄子的番茄斑萎病毒分子鉴定与分析[J]. 植物保护, 2024, 50(2): 246-251.
    [60] XU C X, SUN X P, TAYLOR A, et al. Diversity, Distribution, and Evolution of Tomato Viruses in China Uncovered by Small RNA Sequencing[J]. Journal of Virology, 2017, 91(11): 173-190.
    [61] 李月月, 周文鹏, 路思倩, 等. 番茄斑驳花叶病毒在我国茄科作物上的发生及生物学特性[J]. 中国农业科学, 2020, 53(3): 539-550.
    [62] 罗瑞雪, 赵丹, 潘求一, 等. 番茄黄化曲叶病毒与番茄褪绿病毒复合侵染对番茄黄化曲叶病毒传播的影响[J]. 植物保护, 2022, 48(5): 116-121, 128.
    [63] 刘晨, 潘嵩, 魏佩瑶, 等. 陕西省番茄黄化曲叶病毒寄主范围测定[J]. 北方农业学报, 2022, 50(4): 55-59.
  • 加载中
图( 8) 表( 3)
计量
  • 文章访问数:  511
  • HTML全文浏览数:  511
  • PDF下载数:  93
  • 施引文献:  0
出版历程
  • 收稿日期:  2025-02-02
  • 刊出日期:  2026-01-20

内蒙古番茄病毒的检测与鉴定

    通信作者: 张磊,博士,副教授,硕士研究生导师
    作者简介: 徐磊,硕士研究生,主要从事植物病毒学研究
  • 1. 内蒙古农业大学 园艺与植物保护学院,呼和浩特 010018
  • 2. 内蒙古自治区农牧业科学院,呼和浩特 010031
基金项目:  内蒙古自治区“揭榜挂帅”项目(2022JBGS0028);内蒙古自治区自然科学基金项目(2022QN03018;2023LHMS03020);内蒙古自治区高等学校青年科技英才项目(NJYT23079);内蒙古自治区直属高校基本科研业务费项目(BR230128)

摘要: 

2021-2024年对内蒙古包头、巴彦淖尔、赤峰、鄂尔多斯、呼和浩特5个市辖番茄产区进行番茄病毒病病原种类的调查和鉴定,采集224份表现为斑驳、花叶、黄化、坏死等疑似病毒侵染的番茄叶片样品,运用RT-PCR技术分别检测苜蓿花叶病毒(alfalfa mosaic virus,AMV)、黄瓜花叶病毒(cucumber mosaic virus,CMV)、南方番茄病毒(southern tomato virus,STV)等25种RNA病毒,运用PCR技术检测番茄黄化曲叶病毒(tomato yellow leaf curl virus,TYLCV)和中国番木瓜曲叶病毒(papaya leaf curl China virus,PaLCuCNV)2种DNA病毒。检测为阳性的番茄样品克隆病毒部分基因组序列并进行系统发育、核苷酸序列一致性分析。结果显示:在内蒙古5个市辖番茄产区共鉴定到7种病毒(6种RNA病毒和1种DNA病毒),分别是AMV、CMV、STV、番茄斑驳花叶病毒(tomato mottle mosaic virus,ToMMV)、番茄花叶病毒(tomato mosaic virus,ToMV)、番茄斑萎病毒(tomato spotted wilt virus,TSWV)和TYLCV,病毒检出率为29.91%(67/224),其中ToMV的检出率最高,为20.54%(46/224),ToMMV、STV、CMV、TYLCV、TSWV次之,AMV的检出率最低,为0.45%(1/224)。发现12种复合侵染类型,总体复合侵染率为52.24%(35/67),ToMMV+ToMV(22.39%,15/67)为优势复合侵染类型。

English Abstract

  • 开放科学(资源服务)标识码(OSID):

  • 番茄(Solanum lycopersicum)是茄科模式植物[1],中国目前番茄种植面积和产量均位居世界前列,已成为国际番茄贸易的主要力量[2]。近年来番茄病毒病的频发,已成为影响番茄产量和品质的重要因素,严重影响着番茄产业的健康发展。因此,明确中国不同番茄产区病毒病的病原种类,为早期精准诊断提供可靠依据,并根据其传播特点制定有效的防控策略至关重要。

    病毒病侵染番茄后会导致植株矮化,叶片出现花叶、曲叶、黄化、坏死等症状。目前报道有22科39属312种病毒病的病原可以侵染番茄[3],在我国番茄上发生的病毒种类也高达44种[4],其中黄瓜花叶病毒(cucumber mosaic virus,CMV)[5-7]、南方番茄病毒(southern tomato virus,STV)[8-14]、番茄褪绿病毒(tomato chlorosis virus,ToCV)[15-23]、番茄花叶病毒(tomato mosaic virus,ToMV)[24]、番茄斑萎病毒(tomato spotted wilt virus,TSWV)[25-28]、番茄黄化曲叶病毒(tomato yellow leaf curl virus,TYLCV)[29-36]已在国内番茄产区普遍发生。此外,烟草丛顶病毒(tobacco bushy top virus,TBTV)、番茄斑驳花叶病毒(tomato mottle mosaic virus,ToMMV)、番茄褐色皱纹果病毒(tomato brown rugose fruit virus,ToBRFV)、新德里番茄曲叶病毒(tomato leaf curl New Delhi virus,ToLCNDV)近年来被首次报道后发展和传播迅速,且对番茄品质造成了严重影响,现已成为国内番茄重要病毒病的病原防控对象[37-40]

    内蒙古作为我国番茄主产区之一,设施番茄发展迅速,病毒病病原的威胁也日益严重。目前内蒙古番茄产区的病毒病病原种类及其分类地位尚不完全明确,已然成为番茄生产上的一大隐患。本研究于2021-2024年对内蒙古包头、巴彦淖尔、赤峰、鄂尔多斯、呼和浩特5个市辖番茄产区进行病毒病病原种类的调查和鉴定,对克隆到的病毒基因组序列运用MEGA-X、SDTv1.2等生物信息学分析软件对其进行核苷酸序列一致性分析、系统发育分析,旨在明确侵染内蒙古5个市辖番茄产区的主要病毒病病原种类、发生情况以及分类地位,为内蒙古番茄病毒的检测与防控提供数据支撑。

  • 2021-2024年,在内蒙古包头、巴彦淖尔、赤峰、鄂尔多斯、呼和浩特5个市辖番茄产区共采集表现为斑驳、花叶、黄化、坏死等疑似病毒侵染的番茄叶片样品224份(2021年34份,2022年98份,2023年60份,2024年32份),经液氮速冻保存于-80 ℃冰箱中备用。

  • TaKaRa MiniBEST Plant RNA Extraction Kit、E.coli JM109感受态细胞,宝生物工程(大连)有限公司;Plant Genomic DNA Kit试剂盒、普通琼脂糖凝胶DNA回收试剂盒,天根生化科技(北京)有限公司;ABScript Ⅲ RT Master Mix for qPCR,武汉爱博泰克生物科技有限公司;M5超光速mix(无需提取基因组DNA)、M5 HiClear DL2000 DNA marker,北京聚合美生物科技有限公司;零背景pTOPO-TA/Blunt通用克隆试剂盒,北京艾德莱生物科技有限公司。

  • 按照TaKaRa MiniBEST Plant RNA Extraction Kit、Plant Genomic DNA Kit试剂盒操作步骤分别提取番茄样品中的总RNA和DNA,经微量分光光度计检测浓度和纯度,琼脂糖凝胶电泳检测完整性,合格后保存于-80 ℃冰箱中备用。

  • 对于RNA病毒,以提取番茄样品中的总RNA为模板,使用cDNA一链合成预混液ABScript Ⅲ RT Master Mix for qPCR进行反转录。反转录反应体系(20 μL):5× ABScript Ⅲ RT Master Mix(4.0 μL)、总RNA(1 000 ng)、Nuclease-free ddH2O补足至20 μL。混合均匀,瞬时离心,置于PCR仪55 ℃反应15 min、85 ℃反应5 min。反转录合成的cDNA保存于-20 ℃冰箱中备用。

    对于DNA病毒,以提取番茄样品中的总DNA为模板,按浓度比例稀释至10~15 ng/μL,总DNA稀释液保存于-20 ℃冰箱中备用。

  • 以反转录合成的cDNA和总DNA稀释液为模板,使用已报道的侵染番茄的病毒特异性检测引物(表 1)分别扩增目标片段。PCR反应体系(20 μL):2× M5超光速mix(10.0 μL)、10 μmol/L上游引物(1.0 μL)、10 μmol/L下游引物(1.0 μL)、cDNA或总DNA稀释液(2.0 μL)、Nuclease-free ddH2O补足至20 μL。PCR反应条件:95 ℃预变性3 min;94 ℃变性30 s,根据表 1的退火温度退火30 s,72 ℃延伸(1 000 bp/min),35个循环;72 ℃终延伸10 min;4 ℃保存。PCR扩增产物于1.0%琼脂糖凝胶电泳25 min,割取检测到病毒的目标片段,按照普通琼脂糖凝胶DNA回收试剂盒操作步骤纯化回收目标片段。

  • 纯化的回收产物连接pTOPO-TA载体,连接产物转化E.coli JM109感受态细胞,涂板并37 ℃过夜培养,单菌落克隆经菌液PCR鉴定后,随机挑选3个阳性克隆菌液送至生工生物工程(上海)股份有限公司北京测序部进行Sanger测序。

  • 通过NCBI GenBank数据库BLASTn程序的比对结果和国际病毒分类委员会(The International Committee on Taxonomy of Viruses,ICTV)的分类标准明确病毒种类。使用SDTv1.2软件中的Muscle序列比对程序对本研究获得的病毒分离物基因组序列以及NCBI GenBank数据库中下载的各病毒代表分离物基因组序列进行核苷酸序列一致性分析。利用MEGA-X软件中的最大似然法(Maximum likelihood,ML)对本研究所获得的各病毒分离物基因组序列以及NCBI GenBank数据库中下载的各病毒代表分离物基因组序列进行系统发育树的重建,其中MODLES程序确定建树参数,自展值设置为1 000。

  • 对番茄样品进行RT-PCR和PCR检测,结果显示,224份番茄样品中有67份检测出了病毒,检出率为29.91%(67/224),共检测到7种病毒,其中RNA病毒为AMV、CMV、STV、ToMMV、ToMV、TSWV,DNA病毒为TYLCV(图 1表 2)。AMV总检出率为0.45%(1/224),番茄样品来源于2023年鄂尔多斯市准格尔旗,检出率为10.00%(1/10)。CMV总检出率为5.80%(13/224),番茄样品主要来源于2022年呼和浩特市玉泉区,检出率为13.70%(10/73)。STV总检出率为6.70%(15/224),样品主要来源于2021、2022年呼和浩特市玉泉区,检出率为9.35%(10/107)。ToMMV总检出率为10.71%(24/224),样品来源于2021、2022年呼和浩特市玉泉区,检出率为22.43%(24/107)。ToMV总检出率为20.54%(46/224),样品主要来源于2021、2022年呼和浩特市玉泉区,检出率为39.25%(42/107)。TSWV总检出率为1.79%(4/224),样品主要来源于2022年呼和浩特市玉泉区,检出率为4.11%(3/73)。TYLCV总检出率为2.68%(6/224),样品主要来源于2023、2024年包头市东河区,检出率为13.64%(3/22)。

  • 67份检出病毒性病原的番茄样品中复合侵染现象较为普遍,总体复合侵染率为52.24%(35/67)。复合侵染类型共计12种(表 3),其中2种病毒复合侵染类型为CMV+STV(1.49%,1/67)、CMV+ToMV(2.99%,2/67)、CMV+TSWV(1.49%,1/67)、STV+TYLCV(2.99%,2/67)、STV+ToMV(10.45%,7/67)、ToMMV+ToMV(22.39%,15/67);3种病毒复合侵染类型为CMV+STV+ToMV(1.49%,1/67)、CMV+STV+TSWV(1.49%,1/67)、CMV+ToMMV+ToMV(2.99%,2/67)、CMV+ToMV+TSWV(1.49%,1/67)、STV+ToMMV+ToMV(1.49%,1/67);4种病毒复合侵染类型为CMV+STV+ToMMV+ToMV(1.49%,1/67)。

  • 本研究获得的内蒙古番茄AMV分离物24IM-SoLy1(GenBank登录号:PQ850777)与23个AMV代表分离物核苷酸序列一致性为92.9%~99.1%。24IM-SoLy1与埃及马铃薯(Solanum tuberosum)AMV分离物CP2(KY471416)、埃及罗勒(Ocimum basilicum)AMV分离物Egyptian(MH625710)核苷酸序列一致性最低,为92.9%;与我国苜蓿(Medicago sativa)AMV分离物SHIHEZI/2017/5(MW633780)核苷酸序列一致性最高,为99.1%。

    针对获得的内蒙古番茄AMV分离物的完整外壳蛋白(Coat protein,CP)基因核苷酸序列构建系统发育树,MODELS程序判定最佳进化模型为K2+G。结果表明,基于24个AMV分离物CP基因所重建的系统发育树可分为5个分支,其中24IM-SoLy1与我国苜蓿AMV分离物SHIHEZI/2017/5位于同一分支上,亲缘关系最近,被分在Group Ⅰ(图 2)。

  • 本研究获得的内蒙古番茄CMV分离物24IM-SoLy2~24IM-SoLy14(GenBank登录号:PQ850778~PQ850790)核苷酸序列一致性为92.8%~99.8%,与21个CMV代表分离物核苷酸序列一致性为89.8%~99.2%。24IMSoLy6(PQ850782)与日本烟草(Nicotiana tabacum)CMV分离物m1(AB920778)、韩国二色金光菊(Rudbeckia hirta)CMV分离物Rb(GU327364)核苷酸序列一致性最低,为89.8%,24IM-SoLy2(PQ850778)、24IM-SoLy5(PQ850781)与我国甜瓜(Cucumis melo)CMV分离物CH99(MW926532)核苷酸序列一致性最高,为99.2%。

    针对获得的内蒙古番茄CMV分离物的部分RNA依赖RNA聚合酶(RNA-dependent RNA polymerase,RdRp)基因核苷酸序列构建系统发育树,MODELS程序判定最佳进化模型为K2+G。结果表明,基于34个CMV分离物部分RdRp基因所重建的系统发育树可分为5个分支,其中24IM-SoLy2~24IM-SoLy6与我国甜瓜CMV分离物CH99(MW926532)位于同一小分支上,亲缘关系最近,被分在Group Ⅰ;24IM-SoLy7(PQ850783)~24IM-SoLy14(PQ850790)与澳大利亚番茄CMV分离物K 2016(MG182149)位于同一小分支上,亲缘关系最近,被分在Group Ⅳ(图 3)。

  • 本研究获得的内蒙古番茄STV分离物24IM-SoLy15~24IM-SoLy23(GenBank登录号:PQ850791~PQ850799)核苷酸序列一致性为97.8%~99.8%,与9个STV代表分离物核苷酸序列一致性为97.9%~99.8%。24IM-SoLy22(PQ850798)与土耳其番茄STV分离物Turkey_Canakkale_42(OK309711)核苷酸序列一致性最低,为97.9%;24IM-SoLy15(PQ850791)与美国番茄STV分离物MS-7(EU413670)、日本番茄STV分离物M82(LC429302)、海南省儋州市番茄STV分离物T-DZ-2(OP484998)核苷酸序列一致性最高,为99.8%。

    针对获得的内蒙古番茄STV分离物的部分融合蛋白(Fusion protein,FP) p122基因核苷酸序列构建系统发育树,MODELS程序判定最佳进化模型为HYK+I。结果表明,基于18个STV分离物部分FP p122基因所构建的系统发育树可分为2个分支,其中24IM-SoLy15(PQ850791)~24IM-SoLy17(PQ850793)、24IM-SoLy23(PQ850799)被分在Group Ⅰ;24IM-SoLy18(PQ850794)、24IM-SoLy20(PQ850796)、24IM-SoLy21(PQ850797)与海南省儋州市番茄分离物T-DZ-2位于同一小分支上,亲缘关系最近,也被分在Group Ⅰ;24IM-SoLy19与美国番茄STV分离物MS-7(EU413670)位于同一小分支上,亲缘关系最近,同样被分在Group Ⅰ。24IM-SoLy22与塞尔维亚番茄STV分离物RUM19ST(OL471988)位于同一小分支上,亲缘关系最近,被分在Group Ⅱ(图 4)。

  • 本研究获得的内蒙古番茄ToMMV分离物24IM-SoLy24~24IM-SoLy42(GenBank登录号:PQ850836~PQ850854)核苷酸序列一致性为98.4%~99.9%,与10个ToMMV代表分离物核苷酸序列一致性为97.6%~99.9%。24IM-SoLy37(PQ850849)与日本辣椒ToMMV分离物ToMMV-SP(LC779003)核苷酸序列一致性最低,为97.6%;24IM-SoLy27(PQ850839)与山东省番茄ToMMV分离物Shandong(MW373515)核苷酸序列一致性最高,为99.9%。

    针对获得的内蒙古番茄ToMMV分离物的部分RdRp、运动蛋白(Movement protein,MP)基因核苷酸序列构建系统发育树,MODELS程序判定最佳进化模型为TN93。结果表明,基于29个ToMMV分离物部分RdRpMP基因所重建的系统发育树可分为5个分支,其中24IM-SoLy24~24IM-SoLy42与山东省番茄ToMMV分离物Shandong(MW373515)位于同一分支上,亲缘关系最近,被分在Group Ⅰ(图 5)。

  • 本研究获得的内蒙古番茄ToMV分离物24IM-SoLy43~24IM-SoLy74(GenBank登录号:PQ850800~PQ850831) 核苷酸序列一致性为98.8%~99.9%,与17个ToMV代表分离物核苷酸序列一致性为98.4%~99.7%。24IM-SoLy64(PQ850821)、24IM-SoLy74(PQ850831)与呼和浩特市番茄ToMV分离物HHHT(KY967228)、天津市番茄ToMV分离物Tianjin(MW042871)、墨西哥番茄ToMV分离物INIFAP JM1(PP481218)核苷酸序列一致性最低,为98.4%;24IM-SoLy57(PQ850814)与澎湖县番茄ToMV分离物Penghu(KJ207374)、澳大利亚番茄ToMV分离物Queensland(NC_002692)核苷酸序列一致性最高,为99.7%。

    针对获得的内蒙古番茄ToMV分离物的部分RdRp基因核苷酸序列构建系统发育树,MODELS程序判定最佳进化模型为T92+G。结果表明,基于49个ToMV分离物部分RdRp基因所重建的系统发育树可分为3个分支,其中24IM-SoLy43(PQ850800)~24IM-SoLy56(PQ850813)、24IM-SoLy58(PQ850815)~24IM-SoLy74(PQ850831)位于同一分支上,被分在Group Ⅰ;24IM-SoLy57(PQ850814)单独构成Group Ⅲ(图 6)。

  • 本研究获得的内蒙古番茄TSWV分离物24IM-SoLy75~24IM-SoLy78(GenBank登录号:PQ850832~PQ850835)核苷酸序列一致性为99.2%~99.7%,与32个TSWV代表分离物核苷酸序列一致性为97.0%~99.9%。24IM-SoLy75(PQ850832)与意大利辣椒(Capsicum annuum)TSWV分离物p202/3WT(HQ830187)、津巴布韦野菊(Chrysanthemum indicum)TSWV分离物Mum-A5(MG602673)核苷酸序列一致性最低,为97.0%;24IM-SoLy78(PQ850835)与我国番茄TSWV分离物KM-T(HQ402595)核苷酸序列一致性最高,为99.9%。

    针对获得的内蒙古番茄TSWV分离物的部分核衣壳蛋白(Nucleocapsid protein,N)基因核苷酸序列构建系统发育树,MODELS程序判定最佳进化模型为T92+I。结果表明,基于36个TSWV分离物部分N基因所重建的系统发育树可分为4个分支,其中24IM-SoLy75(PQ850832)与我国烟草TSWV分离物YNHH(MN861975)位于同一小分支上,亲缘关系最近,被分在Group Ⅰ;24IM-SoLy76(PQ850833)与我国莴苣(Lactuca sativa)TSWV分离物CG-1(JN664252)、TSWV-lettuce(MG656990)、党参(Codonopsis pilosula) TSWV分离物YN5574(KY495610)、旱金莲(Tropaeolum majus)TSWV分离物YN5577(MF422034) 位于同一小分支上,亲缘关系较近,被分在Group Ⅰ;24IM-SoLy77(PQ850834)、24IM-SoLy78也被分在Group Ⅰ(图 7)。

  • 本研究获得的内蒙古番茄TYLCV分离物24IM-SoLy79~24IM-SoLy82(GenBank登录号:PQ850773~PQ850776)核苷酸序列一致性为99.4%~99.8%,与19个TYLCV代表分离物核苷酸序列一致性为96.6%~99.8%。24IM-SoLy79与格林纳达番茄TYLCV分离物Grenada:Hermitage:2007(FR851297)核苷酸序列一致性最低,为96.6%;24IM-SoLy80(PQ850774)与广东省广州市番茄TYLCV分离物Bns71(PP438342)核苷酸序列一致性最高,为99.8%。

    针对获得的内蒙古番茄TYLCV分离物的部分CP基因核苷酸序列构建系统发育树,MODELS程序判定最佳进化模型为K2+G。结果表明,基于23个TYLCV分离物部分CP基因所构建的系统发育树可分为2个分支,其中24IM-SoLy79(PQ850773)~24IM-SoLy82(PQ850776)与广州市番茄分离物Bns71(PP438342)位于同一小分支上,亲缘关系最近,被分在Group Ⅰ(图 8)。

  • 在我国不同番茄产区病毒病的病原种类分布及其流行趋势均有差异,在新疆地区番茄上,检测到STV、TYLCV、ToCV[22];在云南地区番茄上,主要发生的病毒有番茄环纹斑点病毒(TZSV)、辣椒脉斑驳病毒(ChiVMV)、STV[13]。2022年宁夏地区番茄主要受到TYLCV、ToCV、STV、TSWV 4种病毒的侵染[23];2024年,ToMMV、TSWV、STV为主要发生的病毒,其中ToMMV为当地优势毒源[14],因此宁夏地区番茄病毒病的病原种类呈动态变化趋势。2021-2024年,本研究运用RT-PCR、PCR技术对内蒙古包头、巴彦淖尔、赤峰、鄂尔多斯、呼和浩特5个市辖番茄产区开展番茄病毒病病原种类的调查和鉴定,检测了25种RNA病毒、2种DNA病毒,其中鉴定到AMV、CMV、STV、ToMMV、ToMV、TSWV、TYLCV等7种病毒,检测结果也表明5个市辖番茄产区中复合侵染现象普遍存在。2021年,呼和浩特地区番茄上检测到STV、ToMMV、ToMV,2022年在该地区番茄上又检测到CMV、TSWV;2023年,包头地区番茄上检测到TYLCV(次年检测又发现了STV)、鄂尔多斯地区检测到AMV。由此可见,内蒙古番茄产区病毒病病原种类的动态变化与国内其他地区存在差异,可能与当地气候干燥,蚜虫、蓟马等传毒媒介的种群优势相关。内蒙古地区干旱、少雨的气候利于蚜虫、蓟马等传毒媒介季节性暴发,可通过在设施温室通风口安装40~60目防虫网,并在温室内悬挂黄、蓝色板诱杀传毒媒介。

    AMV为雀麦花叶病毒科(Bromoviridae)苜蓿花叶病毒属(Alfamovirus)的成员,截至2025年,本研究是继西班牙[55]、塞尔维亚、伊朗、埃及[56]后在第5个国家首次发现该病毒对于番茄的危害,该植株果实变褐,严重影响番茄的品质,考虑到调查样品采自于当地番茄种植户,生产上是否流行有待进一步研究。在我国AMV种群中,不同省份、生物气候区的AMV分离物在核苷酸序列水平上存在显著差异[57]。内蒙古是我国苜蓿的主要生产地之一,本研究获得的内蒙古番茄AMV分离物24IM-SoLy1与内蒙古苜蓿分离物NEIMENG/2017/14(NW633784)核苷酸序列一致性较高,且基于CP基因构建的系统发育树也表明其亲缘关系较近。因此,番茄生产上或需加强对AMV的监测预警。

    CMV为雀麦花叶病毒科黄瓜花叶病毒属(Cucumovirus)的成员,是已知的寄主范围最多、分布最广的植物病毒之一,主要通过蚜虫以非持久性的方式传播[58]。温智浩等[7]鉴定发现银川、徐州市采集的番茄样品中存在CMV+TSWV复合侵染,而赤峰市采集的番茄样品中存在CMV+ToMV复合侵染,但未检测到TSWV。本研究在2022年呼和浩特市玉泉区采集的番茄样品中也发现了这两种复合侵染类型。TSWV属于番茄斑萎病毒科(Tospovirus)正番茄斑萎病毒属(Orthotospovirus),主要由西花蓟马传毒[23],是世界10大严重危害性植物病毒之一[59],杨菲等[25]证实TSWV已在内蒙古赤峰地区发生。本研究在2024年赤峰市元宝山区采集的番茄样品中未检测到TSWV,而在2022年呼和浩特市玉泉区、赛罕区采集的番茄样品中鉴定到TSWV,且玉泉区采集的番茄样品中发现CMV+ToMV+TSWV复合侵染类型。

    STV为混合病毒科(Amalgaviridae)混合病毒属(Amalgavirus)的成员,经常与其他病毒复合侵染番茄,除种子、花粉传毒外,尚未发现其他传播途径[12],Xu等[60]研究认为STV已成为我国番茄上流行的第4大病毒。先后有研究者鉴定发现CMV+STV、STV+ToMV、CMV+STV+ToMV、STV+ToMMV+ToMV等复合侵染类型[5, 14],本研究在2021、2022年呼和浩特市玉泉区、2024年巴彦淖尔市临河区采集的番茄样品中发现有STV+ToMV复合侵染;2022年呼和浩特市新城区采集的番茄样品中发现CMV+STV、玉泉区采集的番茄样品中发现STV+ToMMV+ToMV复合侵染;2022年玉泉区采集的番茄样品中还存在CMV+STV+TSWV、CMV+STV+ToMMV+ToMV两种复合侵染;2024年包头市东河区、赤峰市元宝山区采集的番茄样品存在STV+TYLCV复合侵染,本研究未检测到STV单独侵染番茄的样品,因此STV在内蒙古5个市辖番茄产区田间单独侵染的症状还无法描述。

    ToMMV、ToMV为帚状病毒科(Virgaviridae)烟草花叶病毒属(Tobamovirus)的成员。ToMMV可通过种子、土壤、机械传播,比ToMV的寄主范围更广,侵染性更强[61]。2021、2022年呼和浩特市玉泉区采集的番茄样品中均鉴定到ToMMV、ToMV,且2022年呼和浩特市新城区采集的番茄样品中也鉴定到了ToMV。呼和浩特市ToMMV检出率为18.18%(24/132),ToMV检出率为32.58%(43/132),由此可见ToMV是侵染呼和浩特市设施番茄的优势病毒,ToMMV+ToMV(22.39%,15/67)为优势复合侵染类型。

    TYLCV为双生病毒科(Geminiviridae)菜豆金色花叶病毒属(Begomovirus)的成员,主要通过传毒媒介烟粉虱以持久性的方式传播,一旦获毒终身传毒[33]。2024年包头市东河区、赤峰市元宝山区采集的番茄样品中存在STV+TYLCV复合侵染。目前关于复合侵染对TYLCV传播影响的研究较少,罗瑞雪等[62]研究发现,与取食TYLCV单独侵染的番茄植株相比,取食ToCV+TYLCV复合侵染番茄植株的烟粉虱对TYLCV的传毒率更高,且番茄植株、烟粉虱中的病毒积累量也显著提高。刘晨等[63]为明确陕西省番茄产区TYLCV侵染的寄主范围,对产区周边作物、杂草进行检测,鉴定到黄瓜(Cucumis sativus)、辣椒、茄子(Solanum melongena)等中间寄主,病毒越冬宿主清除难度大。本研究在2023年包头市东河区一家番茄种植区周边的曼陀罗上检测到了TYLCV,次年该产区未种植番茄,但仍在该地区的曼陀罗上检测到TYLCV,故TYLCV可能在曼陀罗上传种,因此,生产中应将其作为重点监测和防控的对象,以免TYLCV逐年传播。

    本研究运用RT-PCR、PCR技术鉴定了危害内蒙古5个市辖番茄产区的6种RNA病毒和1种DNA病毒,明确了内蒙古5个市辖番茄产区病毒病的病原种类及其发生情况,分析了7种病毒82个内蒙古分离物与各病毒代表分离物之间的亲缘关系,为内蒙古番茄病毒病的监测预警提供了理论支撑,并为我国番茄产区病毒病的传播路径、制定防控策略研究提供了理论基础。

参考文献 (63)

目录

/

返回文章
返回